Free Powerpoint Presentations

White Blood Corpuscles
Page
1

DOWNLOAD

PREVIEW

WATCH ALL SLIDES

Slide 1

Leucocytes White Blood Cells

Leucocytes White Blood Cells

Basar

Slide 2

White Blood cells are also known as Leucocytes as they are colorless due to lack of Haemoglobin.

White Blood cells are also known as Leucocytes as they are colorless due to lack of Haemoglobin.

There are about 6000-8000mm of WBC for 1ml of blood.

These are also called Scavengers & Microscopic policemen

White Blood Corpuscles

Slide 3

WBC’s

WBC’s

Five Types

Classified according to the presence or absence of granules and the staining characteristics of their cytoplasm.

Leucocytes appear brightly colored in stained preparations, they have a nuclei and are generally larger in size than RBC’s.

Slide 4

WBC’s

Slide 5

Type of WBC’s

Type of WBC’s

Granulocytes—have large granules in their cytoplasm

Neutrophils

Eosinophils

Basophils

Slide 6

Type of WBC’s

Slide 7

Types of WBC’s

Types of WBC’s

Agranulocytes—do not have granules in their cytoplasm

Lymphocytes

Monocytes

Slide 8

Type of WBC’s

Slide 9

Granuloctyes

Granuloctyes

Neutrophils

Stain light purple with neutral dyes

Granules are small and numerous—course appearance

Several lobes in nucleus

65% of WBC count

Highly mobile/very active

Diapedesis—Can leave blood vessels and enter tissue space

Phagocytosis (eater), contain several lysosomes (janitor)

Slide 10

Granuloctyes

Slide 11

Granuloctyes

Slide 12

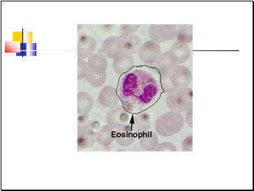
Granulocytes

Granulocytes

Eosinophils or Acidophils:

Large, numerous granules

Nuclei with two lobes

2-5% of WBC count

Found in lining of respiratory and digestive tracts

Important functions involve protections against infections caused by parasitic worms and involvement in allergic reactions

Secrete anti-inflammatory substances in allergic reactions

Slide 13

Granuloctyes

Slide 14

Basophils

Basophils

Least numerous--.5-1%

Diapedesis—Can leave blood vessels and enter tissue space

Go to page:
 1  2 

Contents

Last added presentations

© 2010-2026 powerpoint presentations